Electron Microscopy
Electron Microscopes use the same basic principles as the standard light microscopes that most are familiar with, but with one twist. Instead of directing light onto a sample, a current is used to blast the sample with high energy and small wavelength electrons. The switch from standard light to electrons allows for higher resolution than light microscopes at similar magnifications. Additionally, instead of focusing the light with a glass condenser lens and magnifying the image with powerful glass objective lenses, electromagnetic coils are used in the same way to condense and magnify the beam of electrons.
Our Microscopy Center houses two electron microscopes, both a Transmission Electron Microscope (TEM) and Scanning Electron Microscope (SEM). Both of which are manufactured by industry-standard HITACHI, and use a tungsten hairpin filament to produce a beam - allowing us to give many users access to imaging with these machines while keeping costs relatively low.
The Hitachi SU3500 Scanning Electron Microscope sees frequent use in several biology labs for both faculty and graduate research. Imaging at over 3000x allows study of structures that otherwise remain invisible to the human eye. Some chemistry and materials research at Sam also benefits from SEM. Our machine is equipped with a Bruker Electron-Dispersive X-ray Spectroscopy Detector (EDS), allowing for standardless quantitative analysis. This powerful methodology uses X-rays produced by the SEM to determine the elemental makeup of a sample without any invasive tests.
HITACHI SU3500 Scanning Electron Microscope

Filament: Tungsten hairpin, >30 µm source diameter (~100 hr lifetime)
Detectors: Secondary Electron (SE), Backscatter Electron (BSE), Bruker QUANTAX EDS (EDS)
Resolving Power: 50 nm @ 1 kV, 4 nm @ 30 kV
With a variety of spot intensity and accelerating voltage (1 to 30 kV), the SEM allows for careful, yet high-resolution imaging of many different sample surfaces. Proper preparation of biological samples allows even delicate samples to be imaged with the electron beam at lower voltage and vaccuum. BSE and EDS detectors allow for qualitative and quantitative analysis of element composition. For questions on specific sample requirements, see the sample preparation page.
Our SEM has a particularly simple user interface, meaning even inexperienced students to feel comfortable taking publication-quality images within a few hours. This machine receives special emphasis in the advanced microscopy course offered each fall to graduate students (BIOL 5394). Students will receive hands-on practice with imaging and understand the theory behind electron beam scopes.
HITACHI H-7500 Transmission Electron Microscope

Filament: Tungsten hairpin (~300 hr lifetime)
Resolving Power: 0.23 nm
Accelerating Voltage: 100 kV (20-120kV)
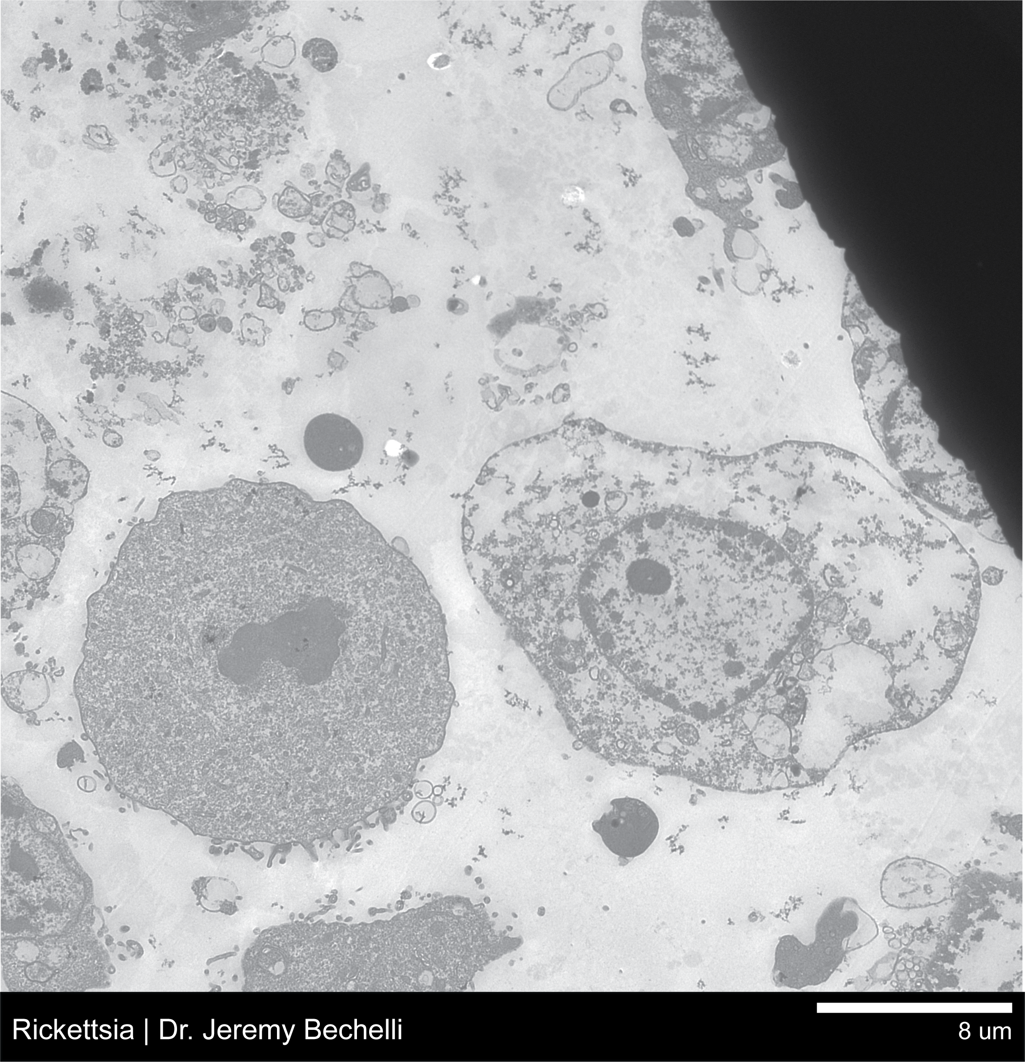
Capable of a finer resolution than most scanning electron microscopes, the TEM relies on instead shooting electrons through the sample to visualize morphological information. This scope typically sees a particular niche compared to the SEM, which can see application in a number of different disciplines and study areas. Chemical and materials science particularly benefit from the high resolving power of this scope.
Biological samples for the TEM are typically cut especially thin (less than 1 µm) to allow for distinct contrast to appear. Sample preparation is often the most time-consuming part of TEM imaging. It is necessary for organic tissues to be fixed to not only stabilize the cells and any organelles within, but to provide enough contrast for the electron beam to distinguish between separate structures.